
顕微鏡撮影を行う際、開口数が大きく分解能が高いレンズを使うほど被写界深度が浅くなり、撮影が困難になってきます。開口絞りを絞ると被写界深度は深くなりますが、分解能が落ちてしまいます。せっかく高い分解能を得るために開口数が大きいレンズを使用しているのに、被写界深度を稼ぐために絞ってしまったら台無しです。
深度合成
特に開口数が大きい高倍率のアポクロマートレンズを使用している場合、血液塗抹標本のスライドに貼りついた血球一つでも前後でピントがずれるほど被写界深度は浅くなります。分解能を維持したまま高解像度の写真を撮るためには、複数のピント面で撮影した画像を合成する深度合成の手法が使えます。
深度合成のソフトは様々なものがありますが、個人的に使用しているソフトは、フリーウェアのCombineZMと、有料画像管理ソフトACDSeeについている「多焦点合成」です。昆虫などのマクロ撮影の深度合成に使われることが多いようですが、顕微鏡画像でも有用です。
画像によって得手不得手があるようなので、両方で試してみて、結果が良い方を採用しています。
レンズ
- 対物レンズ:SPlanApo 100x(oil)
- 撮影レンズ:NFK 3.3X LD
カメラ
- Nikon Z50
家内のおさがりのZ50ですが、顕微鏡カメラとして作られたのではないかと思うほどよく撮れます。ホワイトバランスも容易にプリセットで合わせられますし、モニターに露出が反映されるので、撮影が楽に行えます。ヒストグラムも表示できるので完璧です。
特筆すべき機能は拡大表示です。リモコンからも非接触で簡単に拡大縮小ができるので、顕微鏡写真の正確なピント合わせに最適です。
また、完全電子シャッターで撮影できるので、顕微鏡写真の大敵のブレから解放してくれました。
撮影

深度合成を行う前提での撮影なので、単体で最高の分解能を引き出せるように調整します。乾燥系のPlanApoの高倍率レンズには補正環が付いていますので、カバーガラス厚のばらつきによる球面収差を可能な限り低減させるために入念に調整します。
乾燥系も油浸系もコントラスト向上と被写界深度を稼ぐために開口絞りを80%くらいに絞ると良いと成書には書かれていますが、コントラストは後で調整可能なのと、深度合成をする前提なので、自分は実視野の分解能を見ながら絞りを調整しています。良くできた対物レンズは開放から良像が得られると思います。
油浸のPlanApoレンズには開口絞りが内蔵されていることがあります。分解能優先の場合は開放で使います。
露出はシャッター速度のマニュアル調整で行います。Z50はモニターにヒストグラムを表示できるので、大変分かりやすく、簡単に調整ができます。白飛びせず、諧調が残るように調整します。白飛び恐怖症なので、いつもアンダー目に撮影します。
くれぐれも顕微鏡の光量の調整で露出の調整をしないようにご注意ください。光量を変えると色温度が変わってしまうので、ホワイトバランス調整からやり直すことになります。
リモコンは顕微鏡撮影では必需品なので、Z50とML-L7をBluetooth接続しておきます。モニターの拡大縮小もシャッターもリモコンでコントロールできるので、ピント調整以外は撮影システムに触れることなく撮影できます。
その状態で血球や組織の厚み方向に微動装置で送りながら様々なピント面で撮影します。それほど多く撮影する必要はなく、厚さにもよりますが、数枚から十数枚程度で十分でしょう。
深度合成

撮影した画像を合成ソフトに読み込ませて合成します。
ソフトの使用法は各ソフトのマニュアルを参照ください。
様々なソフトが出ていますが、得手不得手、一長一短がありますので、実行してみないとわかりません。うまく合成できたものを採用します。
深度合成するだけでもプレパラートの厚み分の画像を合成できるので、情報量は格段に増えます。一発撮りでは得られない、高分解能の画像になると思います。
この段階で画像処理ソフトでカラーバランスの調整、コントラストの調整、シャープニングなどを行って完成させても良いでしょう。
さらに細部の描写が必要な場合は次のウェーブレット変換にもチャレンジしてみることも可能ですが、かなりハードルは高くなります。規格外の使用法なので、おすすめはしません。試す場合は自己責任でお願いします。
ウェーブレット変換
惑星などの撮影では、フィルム時代からコンポジット法という手法が使われていました。無限遠の惑星なので、深度ではなく、粒状感を低減させたり、解像度を増したりするために複数のフィルムを重ねて焼き付ける手法です。フィルムは厚みがありましたし、ベースの色などが問題となるので数枚重ねるのが限度でしたが、デジタル時代になってからは、その制限がなくなりました。スタッキングと言って、動画撮影した数千枚のコマを合成して高画質の惑星像が得られるようになりました。

スタッキングを行うための天体写真用ソフトに入っているウェーブレット変換が秀逸で、顕微鏡画像などの加工にも使えます。元は惑星表面の模様を強調したりするためのものなので、規格外の使用です。
スタッキングを行うわけではないので、深度合成後の画像を単体で読み込み、ウェーブレット変換のみを使用します。
ウェーブレット変換は、簡単に言うと画像を周波数分解してそれぞれのレイヤーを作り、そのレイヤー毎に選択的にシャープニング処理を行い、最後にそれらを合成するような処理です。
それによって、細かい柄や大きな柄などを分解して強調処理を行うことができます。
詳しい使い方はマニュアルを参照ください。使用は自己責任でお願いします。質問へのお答えもできませんので、あらかじめご了承ください。
こんな手法もある、という参考程度にとどめておいてください。
最終調整
コントラスト調整、色調整、ゴミ取りなどを行います。自分はPhotoshopを使用しています。
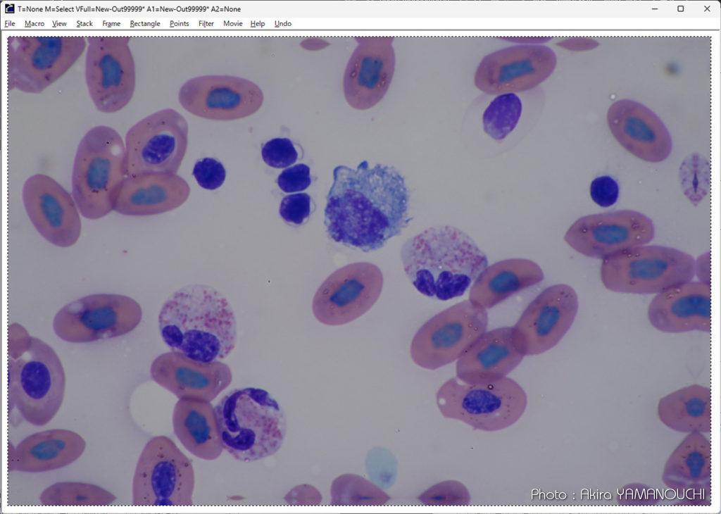
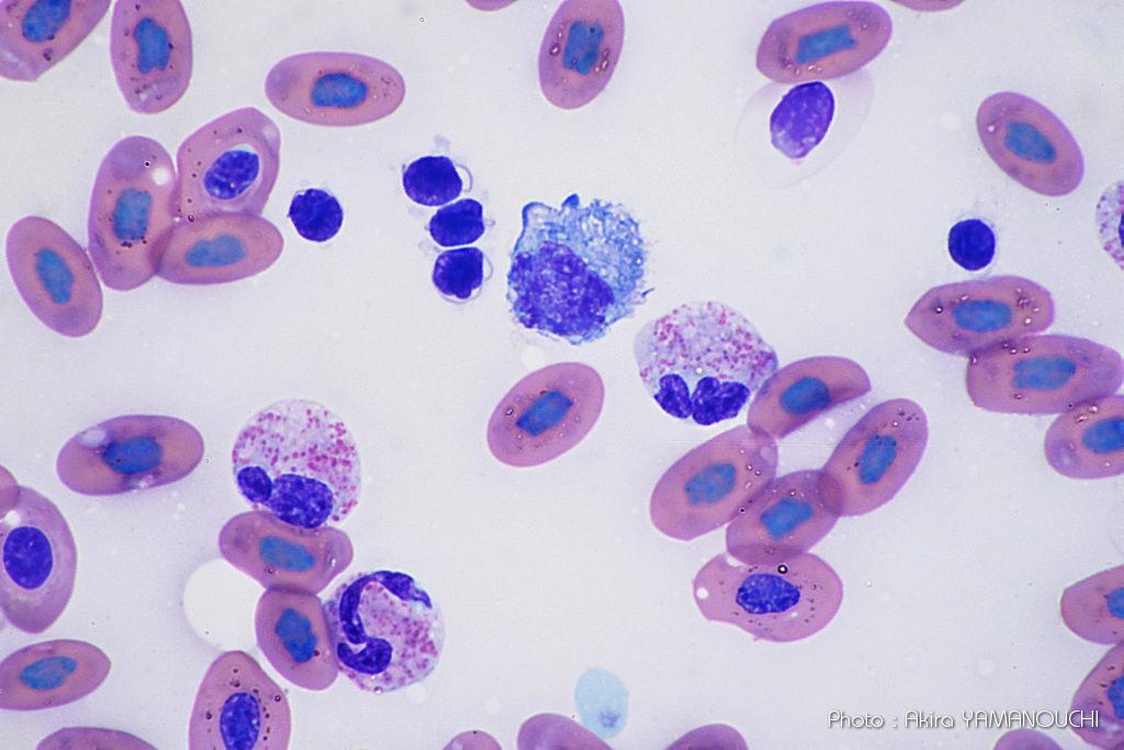
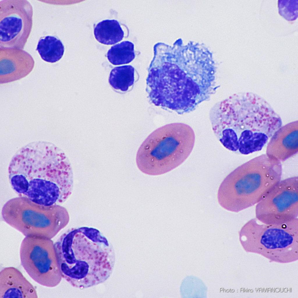
実写例
血液塗抹標本の実写例を示します。標本は「貴重な標本なので、とにかく可能な限り異なる種類の白血球を撮影してくれー」という依頼で送られてきたエリマキトカゲの血液塗抹標本です。確かに昔一世を風靡したエリマキトカゲの血液塗抹標本は見たことがありませんので、貴重な標本です。これは心して撮影しないといけません。
「染色性の違いや顆粒球の顆粒もばっちり写すように」とも添えられていました。
そうなると、プランアポクロマート100倍の出番です。顕微鏡にZ50を取り付け、色も正確に記録するために背景が無彩色になるようにカラーバランスを合わせ、いざ撮影です。
分解能を優先するため、対物レンズの開口絞りも、コンデンサの開口絞りも開放です。油浸で開口数1.40なので、被写界深度は極めて浅く、Z50のモニター拡大機能を使って等倍に拡大して複数の焦点面で撮影しました。全部で16枚です。
深度合成前

深度合成

ウェーブレット変換

最終調整


総評
顆粒球の顆粒の大きさは1μm以下と言われていますので、光学顕微鏡の解像限界に近い大きさです。開口数が大きい対物レンズを使わないと顆粒一つずつを分解するのが困難になります。
PlanApoクラスの高倍率対物レンズを使用すれば単体でも顆粒が明確に写せますが、深度合成やウェーブレット変換の技術を使うとより明確に顆粒を描写することが可能です。顆粒の数を数えることも可能でしょう(数えたりしませんが……)。
いずれの加工もやりすぎは禁物です。特にウェーブレット変換はやり過ぎるとギラギラのひどい画像になるので、「ちょっと足りないかな」と思うくらいにとどめておくべきです。
注意点
ここまで加工した画像は「捏造」扱いされるかもしれないので、論文などで使う場合は加工手順を明記する必要があるでしょう。しかし、強調処理を行っているだけで、存在しないものを描いているわけではありません。
加工した画像は、投稿規定に準じて、不明な場合は問い合わせることをおすすめします。


| Amazon Link |
|---|
カメラ関連
![]() Nikon リモコン ML-L7 |
顕微鏡撮影の必需品:ML-L7 これがないと顕微鏡撮影はできないと言えるほど必須アイテムです。 静止画や動画のボタンの他、モニターの拡大・縮小や十字キーまで備えられているので、位置決めとフォーカシング以外、カメラや顕微鏡に触れることなく顕微鏡撮影ができます。ブレから解放されます。 |
![]() Nikon Li-ionリチャージャブルバッテリー EN-EL25 Amazon |
![]() Nikon FTZ II Amazon |
![]() 【Nizon Z50 専用】 2枚セット 超薄ガラス液晶保護フィルム Amazon |
メディア
![]() ProGrade Digital SDXC UHS-II V60 GOLD 128GB Amazon |
![]() Prograde Digital(プログレードディジタル) SD UHS-II Amazon |
![]() ProGrade Digital SDXC UHS-II V60 GOLD 512GB Amazon |
![]() Lexar SDカード 256GB Professional 1800x SDXC Amazon |
標準ズーム
![]() NIKKOR Z DX 16-50mm f/3.5-6.3 VR Amazon |
![]() NIKKOR Z 24-120mm f/4 S Amazon |
![]() NIKKOR Z 24-50mm f/4-6.3 Amazon |
![]() NIKKOR Z 24-70mm f/2.8 S Amazon |
![]() NIKKOR Z 24-70mm f/4 S Amazon |
単焦点レンズ
![]() NIKKOR Z 20mm f/1.8 S Amazon |
![]() NIKKOR Z 50mm f/1.2S Amazon |
![]() NIKKOR Z 85mm f/1.2S Amazon |
![]() NIKKOR Z MC 105mm f/2.8 VR S Amazon |
![]() NIKKOR Z 135mm f/1.8 S Plena Amazon |
望遠・超望遠レンズ
![]() NIKKOR Z DX 50-250mm f/4.5-6.3 VR Amazon |
![]() NIKKOR Z 100-400mm f/4.5-5.6 VR S Amazon |
![]() NIKKOR Z 180-600mm f/5.6-6.3 VR Amazon |
![]() NIKKOR Z 400mm f/2.8 TC VR S Amazon |
![]() NIKKOR Z 800mm f/6.3 VR S Amazon |
野鳥撮影用おすすめ超望遠レンズ(Zマウント)
Zマウント純正テレコンバーター
![]() Z TELECONVERTER TC-1.4 Amazon |
![]() Z TELECONVERTER TC-2.0 Amazon |
![]() ニコン マウントアダプターFTZII Amazon |






























