
アポクロマート(以下アポ)やセミアポクロマート(フルオリート:以下セミアポ)の40倍など、乾燥系の高倍率・高開口数(以下NA)対物レンズの多くには補正環が付いています。カバーガラス厚のばらつきなどで発生する球面収差を補正するための重要なアイテムなのですが、きちんと使われていない事例が多く、心配になってきました。
病院などでもせっかく高価な高性能の対物レンズを導入していても、補正環が正しく使われている形跡がありません。最高級レンズを買えば良く見えるはずだ、と信じて営業マンにすすめられるがままアポレンズやセミアポレンズを買ってしまったのでしょう。
ある病院では、補正環がとんでもない目盛り位置に設定されていたので、「補正環使ってないの?」と聞くと、「何それ?」と聞き返されました。何でこんな高級レンズを持っていながら補正環のことを知らないのでしょう。うーん、もったいない!
補正環をしっかり使っているのは、もしかすると写真にこだわりがある病理学者と私と同じような常軌を逸した写真家だけなのかもしれません。
かわいそうな補正環
医療写真家という変な仕事をしていると、顕微鏡写真も撮ってくれという依頼が頻繁に来るようになりました。向こうの方が専門家だと思うのですが、意外にもちゃんとした写真が撮れないと言うのです。
論文や学会発表用とのことなので、それなりの品質が要求されます。
仕事として受けるには、やはりこだわりを持って他では撮れない写真を撮らないといけないので、システム顕微鏡を購入して、位相差用対物レンズとコンデンサを用意しました。また、一般撮影用としては最高の分解能で撮影するために、プランアポクロマートの対物レンズを揃えました。数十年前の話しですが、清水の舞台から飛び降りるつもりで導入しました。また無限遠補正光学系に移行する前の時代です。
仕事として顕微鏡写真を撮るのであれば、それが当然の流れだと思っていたのですが、後に大学に出入りするようになって教授に聞いたら、「個人で位相差レンズやアポレンズを導入する人は見たことない」と言われてしまいました。大学の専門家でもよほどじゃないとそんな高倍率のアポレンズなんか使わないよ、と。
確かに、大学の実習用顕微鏡のレンズはアクロマート程度なので、40倍でも補正環がありません。研究室の顕微鏡などもアポやセミアポの対物レンズを導入するのはレアケースで、ほとんどがプランアクロマート止まりです。
つまり、普通に大学に入って卒業していく学生は、補正環を見たことがなく、使い方もわからないのが普通だったのです。もちろん大学でも補正環の使い方なんか教えません。
これでは社会に出て病院で良い顕微鏡を導入しても、補正環を見て「何これ」と思うのも無理ありません。
補正環とは

プランアポクロマートの40倍で、NAが0.95もあります。この数値は乾燥系レンズとしては最高の値です。
まず、補正環の存在を確認してください。セミアポ(フルオリート)やアポレンズで、NAが0.85以上の乾燥系対物レンズには概ね補正環が付いていると思います。高倍率でもNAが小さいアクロマートレンズや、アポやセミアポレンズでも低倍率のレンズには付いていません。多くはNAが0.85や0.95の乾燥系の40倍や60倍レンズには付いているでしょう。
対物レンズのどこかに、目盛りがふってあり、左右に回せるリングがあるはずです。それが補正環です。
NAが大きく、分解能が高いレンズほどカバーガラスの厚み誤差による球面収差の影響を強く受けるようになります。補正環はそれを補正するための機構です。
- 注:油浸対物レンズにも回せるリングがついていることがありますが、それは開口絞りです。油浸レンズで使用するイマルジョンオイルはカバーガラスとほぼ同じ屈折率なので、球面収差が発生しません。
カバーガラス厚と球面収差の関係
カバーガラス厚の違いによる球面収差の発生と補正環による球面収差補正に関しては、Nikonのサイトに詳しい説明があるのでそちらを参照ください。
カバーガラス厚のばらつきによる高NA対物レンズの像の劣化は顕著なのですが、そのことを知らずにアポやセミアポレンズを使っている人が多いようです。補正環付き対物レンズをお持ちの方は、ぜひ上のNikonのサイトを熟読されることを強くおすすめします。
右図(上のNikonのページから引用)で衝撃的なのは、アポクロマートクラスの乾燥系40倍レンズはNAが0.95ほどありますが、そのレベルの対物レンズではカバーガラスの厚さが0.01(1/100)mm設計値と異なるだけで性能が50%に落ち、0.02mm異なると性能が10%以下になってしまうという事実です(みどり線)。これは由々しき問題です。
一般的なアクロマートのNAは0.65程度(オレンジ線)なので、カバーガラス厚の誤差が0.04mmあっても80%くらいの性能を維持できていますが、NA0.8程度のセミアポクラスの対物レンズ(マゼンタ線)でも急激に像が悪化して性能が10%ほどに落ちてしまいます。
この図は大変重要で、NA0.65のアクロマートレンズはカバーガラスが0.17mmから0.04mmずれてもほぼ問題がありませんが、アポクロマートやセミアポクロマートレンズにとっては、±0.04mmの誤差は致命的であるということを物語っています。

補正環の正しい使用法を知らずに高NAの対物レンズを使っていると、本来の性能の1/10で観察している可能性が高いのです。誤差範囲が大きいカバーガラスを使用したり、補正環を調整せずに使っていると、下手したらNAが小さいアクロマートレンズの方が良く見えるという逆転現象が起きます。
よく見るために最高の対物レンズを導入しても、使い方を知らなければ逆効果になってしまうということです。
せっかく最高級の高NAアポレンズを導入したのに、見えがイマイチだと感じている方は、今一度見直しをしてみてください。
また、最高級レンズを買ったのに、「何だか像がぼやけていて、このレンズはダメなレンズだ」と不当な評価を受けている可能性もあります。正しい使い方を知らないだけなのに、これではレンズが可愛そうです。
補正環の存在を知らないと、対物レンズを取り付けたときに補正環もいっしょに回してしまい、目いっぱい回ったままになっていることがあります。これではせっかくの高分解能の高NAレンズも宝の持ち腐れになってしまいます。
そんな迷える方々のためにちょっとカバーガラスと補正環の使い方を解説しておきましょう。
なお、この先の記述は、顕微鏡メーカーの建前と、実際に顕微鏡で仕事をしている病理学者の本音や写真家の個人的な感想が混在しています。個人の経験値や使用目的などによっても見解が大きく変わりますので、あらかじめご了承ください。
カバーガラス厚
光源から標本までは照明光学系、標本から接眼レンズまでを観察光学系と呼びます。したがって、スライドガラスまでは照明光学系、カバーガラスを含めてそこから目にはいるまでが観察光学系となります。カバーガラスは立派な観察光学系の一部であり、観察光学系で最初に光が透過する重要なパーツなのです。
それなのに、カバーガラスにこだわりを持っている人は少なく、使い捨てであるがゆえに、多くの病院などでは安価でいい加減な製品を使っています。
レンズはこだわってセミアポやアポクロマートを導入しているのに、カバーガラスがいい加減ではせっかくの高NAレンズの性能を発揮することができません。
顕微鏡の対物レンズには、色補正状況や像面弯曲補正の有無、倍率、開口数、鏡筒長のほか、必ずカバーガラス厚の指定が刻印されています。これはカバーガラスが光学系の一部であることの証であり、対物レンズは指定した厚さのカバーガラスを使用したときに最高の性能を発揮できるように設計されています。多くは0.17と刻印されていると思います。これは、「このレンズは0.17mmのカバーガラスを使うことを前提に設計されています」という意味です。
前述のNikonのサイトから分かるように、カバーガラス厚が0.17mmから0.01mm(1/100mm)ずれるだけでアポクロマートのようなNAが0.95もあるレンズでは性能が半分にまで落ちてしまうということです。そのために、0.17などと、1/100mm単位までの細かい数字でレンズに刻印しているのです。
極端な話、スライドガラスまでは照明光学系なので、そこそこの製品であれば問題ありませんが、高NAレンズを使用する場合はカバーガラスの厚みが分解能を大きく左右します。
カバーガラスの規格
カバーガラスには様々な大きさや形のものがありますが、光学系の一部であるがゆえ、平滑性や素材の屈折率、厚さなどが重要となります。平滑性や素材の屈折率などはメーカーにお任せになってしまいますが、信頼あるメーカーであれば問題ないでしょう。国内では松波硝子工業さんの製品をおすすめします。
対物レンズの性能を大きく左右するのは厚さなので、きちんとしたメーカー製であれば、気にするのは厚さがメインになります。
カバーガラス厚は0.17mmが標準となっていますが、実は日本産業規格(JIS)でカバーガラスに対する規格が厳密に定められています。
No.1
ほとんどの方々は、No.1を使っていると思います。最低でもこのクラスのカバーガラスを使用しましょう。No.1の設計値は0.17mmですが、許容誤差が+0、-0.04です。
つまり、No.1のカバーガラス厚のばらつきは0.13~0.17mmとなります。中央値が0.15mmであり、対物レンズの設計カバーガラス厚0.17mmと少しずれています。開口数が小さいレンズではあまり影響はありませんが、開口数が大きいレンズでは性能を発揮できなくなります。0.17mmから0.04mmもの差があるカバーガラスを使うと、アポもセミアポも性能が1/10以下に落ちてしまう可能性があります。
No.1S
No.1Sは設計値0.17mm、許容誤差+0.02、-0.01の規格です。カバーガラス厚としては0.16〜0.19mmとなり、中央値は0.175mmとなります。これは対物レンズの設計カバーガラス厚に極めて近い値です。セミアポやアポクラスのレンズを導入したら、カバーガラスは松波硝子工業さんのNo.1Sがベストマッチングです。補正環で補正できるとしても、可能な限り0.17mmに近い方が補正が楽になります。
No.1S HT
JIS規格には、No.1S HTという規格のカバーガラスもあります。こちらは、0.17±0.005mmという、究極のこだわりを持ったカバーガラスです。
乾燥系高NAの40倍や60倍を使用するときは最高性能を発揮すると思いますが、松波硝子工業さんでも受注生産で入手困難であるうえ、高価なのであまり現実的ではないかもしれません。自分は見たことも使ったこともありません。
カバーガラスの本音と建前と実際の運用
と、ここまでカバーガラスのウンチクを並べましたが、おそらくほぼ100%の人はNo.1しか使っていないし、これからもNo.1を使い続けることでしょう。実際大学でも病院でもNo.1以外のカバーガラスは見たことがありません。
理由の一つは、カバーガラスが使い捨ての消耗品扱いになってしまっているからだと思います。病院や検査センターなどでは大量に使用され、大量に廃棄されています。いちいちカバーガラスの品質にこだわっている時間もなく、費用もかけたくないのでしょう。
もう一つの問題は、No.1以外は普通に売られていないことです。試しにネットで検索してみていただくと分かりますが、通販ではNo.1SHTはおろか、No.1Sでさえ出てきません。業者に注文しないとなかなか入手できないということが足かせとなっているのでしょう。
NikonでもOlympusでも、アポクロマートクラスの対物レンズにはNo.1S、もしくはNo.1SHTの使用を推奨していますが、現実問題として、なかなか手に入らないカバーガラスで、継続的な運用は難しいと思います。
また、一般的なスクリーニングでは、アポクロマートレンズを使うことは少なく、プランアクロマートが多いと思います。NAが0.65で検査に十分使える分解能であれば、実用上はそれ以上のレンズは必要なく、NA0.65クラスの対物レンズであればカバーガラスはNo.1で十分な性能を発揮できるからでしょう。
仮にレンズにこだわりがあって、NAが0.85や0.95のレンズ使っているようなマニアックな人は補正環の使用法をマスターしているはずなので、一般的なNo.1を使って補正環で球面収差を補正して使うことができます。高NAレンズでも、入手しにくいカバーガラスを使うより「No.1+補正環」が現実的なのかもしれません。
補正環
上記のように、高NAの対物レンズの分解能はカバーガラス厚の影響を大きく受け、カバーガラス厚も様々な規格に適合する製品が販売されています。しかし、No.1S HTの使用は現実的ではありませんし、撮影依頼でプレパラートとして送られてくるスライドにかぶせてあるカバーガラスの多くは低品質のものです。また、封入材の量によって標本とカバーガラスの距離が離れていることもあります。0.17mm厚のカバーガラス裏面に塗抹した標本なら理想的ですが、そのような標本はまずありません。
補正環は対物レンズの中の一部のレンズ群を動かしてカバーガラス厚0.17mmからの差で発生する球面収差を補正する機構です。多くはカバーガラス厚0.11~0.20mm程度の補正に対応していますので、上記No.1クラスのばらつきであれば、補正環が付いている高NAの対物レンズで十分な補正が可能です。
補正環の使用法
大学でも教えていないし、マニュアルもないし、ネットで検索しても補正環の使い方の詳しい解説はほとんどありません。これでは多くの人が使えていないのが当たり前でしょう。
自分は最初にアポレンズを入手したときにオリンパスの技術者の方から調整法を教わりました。なお、照明は事前にコンデンサを調整して、芯出しやケーラー照明の調整が済んでいることが前提です。
- まず、これから使う標本をセットし、10倍程度のレンズで適当なターゲットを探す。血液塗抹であれば、顆粒球など、微細な構造があるものが望ましい。組織だったら核や核小体、細胞質の微細構造やインターセルラーブリッジなど、40倍の限界に近い構造が見える場所をターゲットとすると良い
- 補正環付の対物レンズに切り替える
- 補正環をとりあえず0.17に合わせる
- 開口絞りを開放にする
- 正確にピントを合わせる
- 現状の分解能を目で覚える
- 補正環をどちらかに少し回してピントを合わせる
- 像が悪化したら0.17から逆に回してピントを合わせる
- 像が良くなったら再び悪くなるまで少しずつ回してピントを合わせる
- 像が悪くなった位置を目盛りで読み取る
- 0.17から始めて、良くなってから悪くなったので、悪くなった目盛りと0.17の間のどこかに最適値がある。その範囲内で回転角を徐々に小さくしながら同様な方法で左右に回しながら分解能が最高になる場所を追い込んで行く
- 最終的に一番分解する位置が球面収差が補正された位置となる
- 開口絞りを適正な位置にセットして観察もしくは撮影を行う
上記のような手順で調整を行います。補正環を回すとピントもずれるので、片手は微動装置を操作しながらもう一方の手で補正環を操作すると良いでしょう。
一度補正環を最小、最大にしてどのくらい像が悪化するのかも体験しておくとよいでしょう。思った以上に像が悪化するのが分かります。
補正環を操作するときは、必ず開口絞り開放で行うのがポイントです。絞ったまま行うとピークが分かりにくくなります。
ばっちり決まると、今までは何だったんだろうと思えるほど高分解能・高コントラストの像が得られます。特に写真撮影では顕著な違いになります。
補正環付のレンズをお持ちの方は、ぜひ調整しながら使うようにしてください。というか、補正環を正しく使わなかったら何のために高価なプランアポクロマートを購入したのかわからなくなります。
また、面倒でも補正環の調整はプレパラート毎に行います。カバーガラスによって厚みが異なるからです。慣れるとそれほど時間はかかりません。
もちろん、自分の病院で、カバーガラスはNo.1SHTしか使わないという方は、一度補正環を調整すれば同じ設定のまま使えるかもしれませんが、そんな使い方をしている人は見たことありませんし、あまり現実的ではないと思います。
個人的には補正環の調整技術を身に着けて、普段の使用ではNo.1を使い、補正環で球面収差を補正しながら使うのが理にかなっているのではないかと思っています。
写真を撮ることが多い場合や、特別に教科書や画像集に使う写真を撮るとか、顕微鏡写真コンテストの写真を撮影するような場合はよりばらつきが少ないカバーガラスを使うのも良いのかもしれません。しかし、それでも補正環で球面収差を除去する技術は身につけておくことをおすすめします。
実写
補正環の調整が不適切なプランアポレンズは、アクロマートレンズにも劣ることを示すサンプル画像です。下記機材を使用しました。
- アクロマート代表:Olympus DPlan 40 PL NA0.65
- アポクロマート代表:Olympus SPlanApo 40 NA0.95
- 撮影レンズ:NFK 2.5X LD
- カメラ:Nikon Z50
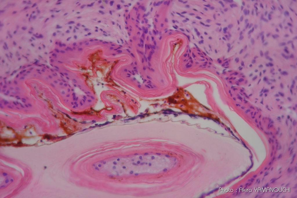
全体像

NA0.65のアクロマートレンズですが、コントラストも高く、観察や診断に十分な分解能です。

NA0.95を誇るプランアポクロマートですが、補正環を調整しないとコントラストが低く、低分解能の像になります。

補正環を正しく調整するとNA0.95の本領を発揮し、見違えるように高コントラスト高分解能の像になります。
下の3つは、左がアクロマート、中央は補正環が不正のアポクロマート、右が補正環の位置が適正なアポクロマートです。
Olympus DPlan 40 Olympus SPlanApo 40 bad C-ring Olympus SPlanApo 40 good C-ring
全体像はわかりにくいかもしれませんが、中央の画像のみ寝ぼけているように見えます。球面収差が発生すると全体にカスミがかかったような、眠い画像になります。
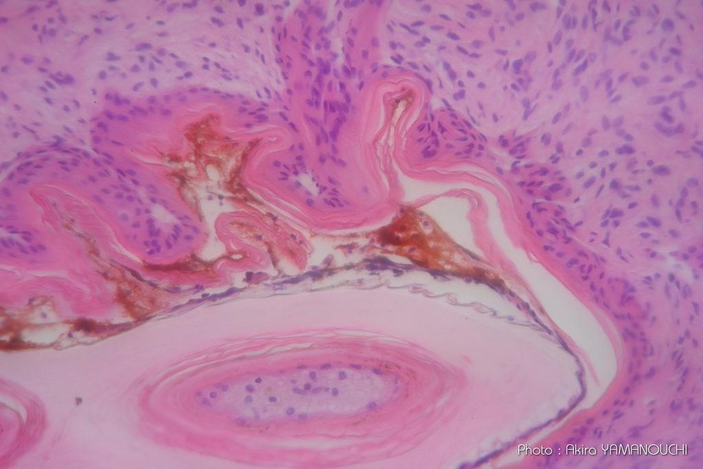
中央左部分拡大
上の画像の中央左部分を1280角で切り出したものです。
拡大して見ると違いが顕著に分かります。補正環の位置が不正なアポクロマートレンズ(中央)は補正環がないアクロマートレンズ(左)よりも遥かに像が悪くなります。きちんと補正環を適正位置に設定すると、明らかにアクロマートよりも分解能が高い画像が得られます(右)。
Olympus DPlan 40 Olympus SPlanApo 40 bad C-ring Olympus SPlanApo 40 good C-ring
中央下部分拡大
分解能の違いが顕著です。補正環が不正なアポクロマート(中央)は核の内部構造も細胞質の構造も見えませんが、より安価なアクロマート(左)でもそこそこ見えます。補正環を適正に調整すると見違えるほど分解能が高くなり、細胞質の構造や核の中の核小体まで見えるようになります(右)。
Olympus DPlan 40 Olympus SPlanApo 40 bad C-ring Olympus SPlanApo 40 good C-ring
総評
上の比較画像が物語っている通り、補正環が不正な位置にあるアポクロマートはアクロマートよりも遥かに見えが悪くなります。アポレンズの価格は、ものによってはアクロマートレンズの10倍くらいします。それなのに、使い方を知らないとアクロマートレンズよりも見えが悪くなってしまうのです。
お使いのアポレンズが、上の中央の画像のような見え方になっている場合はカバーガラス厚と補正環を確認してみてください。
レンズが汚れている場合も中央のような画像になります。よく目にするのは、イマルジョンオイルの付着やバルサムの付着です。補正環がないレンズや補正環付きのレンズで適正位置に合わせても像がぼやけていたりコントラストが低い場合はレンズの汚れを疑って見てください。
対物レンズを外して、外した接眼レンズで対物レンズの前玉を見て確認します。汚れている場合は清掃しましょう。
せっかくのアポクロマートレンズなのですから、最高の状態で使ってあげてください。
最後に(本音)
こんなことを言うと元も子もありませんが、いちいちプレパラート毎に補正環を操作するのは面倒だと思う方は、残念ですがアポクロマートレンズは売っちまって、NA0.65クラスのアクロマートレンズに買い替えた方が遥かに幸せだと思います。補正環を不正な位置で使うアポレンズよりも、補正環がついていないアクロマートレンズの方が良く見えます。人それぞれ向き不向きがありますので、補正環付きのアポクロマートを使うのがストレスになる人もいるでしょう。ずぼらな人には向かないと思います。
普段はアクロマートレンズを使って、ここ一番の勝負レンズとしてアポクロマートレンズを使うという運用でも良いでしょう。分解能を最優先にした写真を撮らなければならないときなどに伝家の宝刀としてアポクロマートを使うことをおすすめします。もちろん、補正環を適正に設定してね。
病理学者という方々(本音)
冒頭に病理学者は高倍率のプランアポレンズなんか滅多に使わないと言われたことを書きましたが、実際彼らはどんな対物レンズを使っているのでしょう。大学に勤めるようになったときのボスが病理学者だったので、病理のことをずいぶん習いました。もう何十年も前ですが、自分にとっては新鮮だったので鮮明に覚えています。お願いして、鏡検するときの一連の手順をみせてもらったことがあります。
組織を見るとき、まず病理学者が最初に観察するのは裸眼でした。
プレパラートを白い壁や蛍光灯に向けて全体像を把握します。彼らは見慣れているので、「あ、このあたりが怪しいな」とすぐに鏡検する位置を割り出します。血液塗抹標本なども、まず肉眼で塗抹と染色状況をみて、「使えるのはこの辺だけだな」と鏡検すべき位置を瞬時に見抜きます。
次に顕微鏡にセットして、最初に4倍や10倍の対物レンズで大まかな診断をしてしまいます。低倍率で全体を見て、「この辺にこんなに炎症細胞が集まっていると言うことは、ここが原発巣だな」などと言いながら全体を把握します。おそらく、彼らの頭の中では、この段階でほぼ診断は終わっているのでしょう。後はその診断の確認作業を行って確定していくという感じです。
倍率は滅多に上げません。私が習った先生は20倍対物レンズがお気に入りだったようで、倍率を上げるときは20倍を多用していました。
「細胞の顔を見る」と表現していましたが、40倍は時々細胞の人相を見るために使うくらいです。「あーこの細胞は悪人ヅラしてるなー」などと表現しながら説明してくれるのですが、さっぱりわかりませんでした。
「おっ、こんなところに形質細胞がいるなぁ」とか言いながら炎症の程度や期間などを推定して行きます。もう素人にはついていけない世界です。
100倍のレンズはほとんど使わないそうです。40倍で十分診断できるし、油浸レンズを使うと後始末が面倒なので、よほど細部の確認や写真撮影が必要な場合以外は使わないようです。
それよりも感動したのは、彼らの目の良さです。視力ではなく、ものを認識したり識別する能力です。よく心眼で見ると言いますが、何千枚と病理組織標本を見続けていると、どんどん見えるようになってくるそうです。そのため、彼らは10倍のレンズでも、普通の人が40倍で見るよりもよく見えています。
ティーチング顕微鏡で、「ほらほら、あそこに〇〇があるじゃん」と言われても、自分には全く認識できません。「見えない」と文句を言うと倍率を上げてくれて、「ほらこれ」と言われて初めて認識できるということの連続です。
そんなわけで、彼らは高倍率のアポレンズなんか必要ないのかもしれません。心眼でもっと細部まで見えているのです。そのため、カバーガラス厚なんかもあまり気にしないのでしょう。
使用している対物レンズもSPlanでしたので、広視野のプランアクロマートです。
高NA、高倍率のアポクロマートやカバーガラス厚にこだわるのは心眼が使えず、レンズの分解能に頼らないと何も見えない顕微鏡初心者と、変なこだわりを持つ写真家だけというのは、まんざらハズレではないのかもしれません。
病理のプロは、プランアクロマートで十分見えて仕事でつかえるので、あえてこんなメンドクサイ対物レンズは使わないのでしょう。
自分は写真家なので、最高の分解能を求めて今日も補正環片手にアポレンズと格闘しています。


Amazon Link |
---|
カメラ関連
![]() Nikon リモコン ML-L7 |
顕微鏡撮影の必需品:ML-L7 これがないと顕微鏡撮影はできないと言えるほど必須アイテムです。 静止画や動画のボタンの他、モニターの拡大・縮小や十字キーまで備えられているので、位置決めとフォーカシング以外、カメラや顕微鏡に触れることなく顕微鏡撮影ができます。ブレから解放されます。 |
![]() Nikon Li-ionリチャージャブルバッテリー EN-EL25 Amazon |
![]() Nikon FTZ II Amazon |
![]() 【Nizon Z50 専用】 2枚セット 超薄ガラス液晶保護フィルム Amazon |
メディア
![]() ProGrade Digital SDXC UHS-II V60 GOLD 128GB Amazon |
![]() Prograde Digital(プログレードディジタル) SD UHS-II Amazon |
![]() ProGrade Digital SDXC UHS-II V60 GOLD 512GB Amazon |
![]() Lexar SDカード 256GB Professional 1800x SDXC Amazon |
標準ズーム
![]() NIKKOR Z DX 16-50mm f/3.5-6.3 VR Amazon |
![]() NIKKOR Z 24-120mm f/4 S Amazon |
![]() NIKKOR Z 24-50mm f/4-6.3 Amazon |
![]() NIKKOR Z 24-70mm f/2.8 S Amazon |
![]() NIKKOR Z 24-70mm f/4 S Amazon |
単焦点レンズ
![]() NIKKOR Z 20mm f/1.8 S Amazon |
![]() NIKKOR Z 50mm f/1.2S Amazon |
![]() NIKKOR Z 85mm f/1.2S Amazon |
![]() NIKKOR Z MC 105mm f/2.8 VR S Amazon |
![]() NIKKOR Z 135mm f/1.8 S Plena Amazon |
望遠・超望遠レンズ
![]() NIKKOR Z DX 50-250mm f/4.5-6.3 VR Amazon |
![]() NIKKOR Z 100-400mm f/4.5-5.6 VR S Amazon |
![]() NIKKOR Z 180-600mm f/5.6-6.3 VR Amazon |
![]() NIKKOR Z 400mm f/2.8 TC VR S Amazon |
![]() NIKKOR Z 800mm f/6.3 VR S Amazon |
野鳥撮影用おすすめ超望遠レンズ(Zマウント)
Zマウント純正テレコンバーター
![]() Z TELECONVERTER TC-1.4 Amazon |
![]() Z TELECONVERTER TC-2.0 Amazon |
![]() ニコン マウントアダプターFTZII Amazon |